
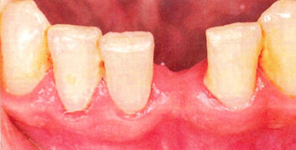
La pérdida de un único incisivo mandibular representa un desafío clínico por el espaciomesiodistal reducido y la delgadez ósea vestibulolingual. El implante TBS Narrow 3.1 mm de Eckermann ofrece una solución predecible y conservadora, diseñada para adaptarse a crestas estrechas sin comprometer la estabilidad ni la estética.
El Dr. Vivien Chambas es un destacado especialista en implantología oral, con formación internacional y amplia experiencia en cirugía oral, regeneración ósea y rehabilitación protésica. Su enfoque clínico se basa en técnicas mínimamente invasivas y protocolos científicamente validados. Ha colaborado con diversas compañías implantológicas en el desarrollo de nuevas tecnologías, destacándose por su rigor académico y excelencia clínica.




Déjanos tu email y recíbelo directamente en tu bandeja de entrada.
Contenido exclusivo, imágenes detalladas y todos los pasos del tratamiento.
Introduce tu correo electrónico y te enviamos el caso completo.