
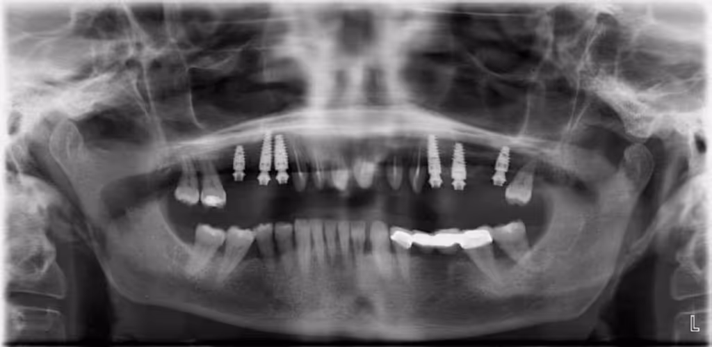
La pérdida de piezas dentarias en el maxilar superior, especialmente en la zona posterior, representa un desafío funcional y estético que se complica por el desgaste progresivo de los dientes anteriores. En el caso clínico presentado, se optó por una rehabilitación integral que incluyó la colocación de implantes osteointegrados en premolares y molares, junto con la preparación de los dientes anteriores para la colocación de coronas fijas.
La Dra. María Toboso García, licenciada en Odontología y especializada en Esthetic Dentistry, ejerce desde 2007 en la práctica privada en la Clínica Toboso, centrando su labor en odontología estética, implantología y prótesis dentales. Como directora científica de Eckermann Implant, participa en congresos nacionales e internacionales, destacando por sus ponencias sobre soluciones protésicas avanzadas como el sistema Multi Fix, con un enfoque que integra funcionalidad clínica y excelencia estética.




Déjanos tu email y recíbelo directamente en tu bandeja de entrada.
Contenido exclusivo, imágenes detalladas y todos los pasos del tratamiento.
Introduce tu correo electrónico y te enviamos el caso completo.